怎么申请皇冠信用网 _广东一男子20多年不敢一个人出门,医生从他脑中取出10厘米活虫
皇冠信用网会员开户(www.hg0088.us)皇冠会员开户_登3代理,皇冠信用网/—开会员账号—皇冠信用网招登1登2登3皇冠信用网平台出售,家住汕尾的阿勇(化名)今年52岁,从21年前开始出现癫痫大发作以来,他几乎从未独自出过门怎么申请皇冠信用网 。近日,广州的医生从他颅内取出一条潜伏长达20余年、约10厘米的裂头蚴,他感到前所未有的轻松。
不敢独自出门的男子
“距离现在已经有21年了!”阿勇感慨道怎么申请皇冠信用网 。那晚,他在睡梦中突然四肢抽搐、牙关咬紧、眼球上翻,完全失去意识。在当地医院被诊断为“肉芽肿炎”,但医生告知,手术可能加剧发作,阿勇选择了保守治疗。
服用抗癫痫药后,阿勇依然会出现癫痫发作怎么申请皇冠信用网 。他的心理压力与日俱增,“每天在家,不敢一个人出门,担心随时发作。”他感觉脑袋始终堵着东西,只能靠小诊所的药片暂时缓解。
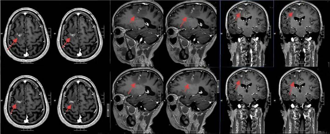
一年前,阿勇的病情进一步加重怎么申请皇冠信用网 。每次发作后,会出现短暂失语、左侧面瘫和肢体麻木。颅脑MRI检查结果提示,可能是寄生虫感染。为寻求进一步诊疗,阿勇来到广东三九脑科医院。
手术取出10厘米活虫
该院神经外二科张旭标副主任医师接诊后,根据影像结果,发现其右额叶病变,局部肉芽肿形成伴周围组织水肿怎么申请皇冠信用网 。“这是大脑为了隔离‘入侵者’筑起一道‘隔离墙’,周围的脑组织被刺激得肿胀。”张旭标解释,这些影像特征高度指向脑裂头蚴病。经比对,病灶范围稳定,手术时机成熟。

术前影像
“很激动,身体被搞垮了20多年怎么申请皇冠信用网 。”得知手术有望根治顽疾,阿勇在期待中夹杂着紧张。
手术采用神经导航技术,精确定位病变,张旭标在显微镜下小心抓取寄生虫、清理“虫窝”,避免损伤周围功能区脑组织怎么申请皇冠信用网 。术中,一条长约10厘米的灰白色寄生虫被完整取出。术后病理报告证实为裂头蚴。

张旭标在手术中
术后恢复良好的阿勇,脸上露出了笑容,“头不‘堵’了,感觉人都开朗、轻松了怎么申请皇冠信用网 。”
该院神经外二科副主任刘妲介绍,裂头蚴病多与饮食习惯相关,常因食用未煮熟的青蛙、蛇类,或饮用被污染的生水所致怎么申请皇冠信用网 。阿勇回忆,自己曾喝过生水,后来偶尔也会食用生腌虾蟹。
寄生虫在大脑中“安家”后,会持续刺激周围组织,引发肉芽肿和水肿,压迫神经结构,进而导致癫痫、头痛、肢体麻木甚至意识丧失怎么申请皇冠信用网 。由于潜伏期长、症状隐匿,极易被误诊为普通癫痫或脑肿瘤。刘妲特别提醒,预防寄生虫感染,关键要做到“三不”:不喝生水,不吃生食或未煮熟的食物,不用生肉敷贴伤口。
来源:广州日报
猜你喜欢
- 6小时前皇冠信用网在线注册_美国被中国拖入拉锯战,只要特朗普犯一个错误,国家就会陷入更深的困境?
- 6小时前皇冠信用网在线注册_文班亚马12分亚历山大空砍33分 马刺大胜雷霆
- 6小时前皇冠信用网在线注册_国台办:“台独”势力胆敢把大熊猫当作媚日输诚贡品,必遭两岸同胞怒火
- 16小时前hga030皇冠_美国发布H-1B签证新规,优先向高薪岗位申请人发放
- 16小时前hga030皇冠_老人“睡梦中”离世,警方靠共享电动车揪出隔壁凶手
- 16小时前hga030皇冠_身价6500万,碾压罗梅罗!阿根廷队世界杯加盟强援,补齐短板冲冠
- 21小时前皇冠体育App下载_中国180万桶原油遭殃,特朗普闯下大祸,解放军100枚导弹已就位?
- 21小时前皇冠体育App下载_辽宁省副省长李强已任大连市委副书记、市政府党组书记
- 1天前皇冠球盘app_“根本打不开门!”北京一业主买了小区地下车位,上下车却遇难题…
- 1天前皇冠球盘app_俄副外长:保证不进攻欧盟北约,准备以法律形式确认
- 1天前足球比赛外围买球网站_外交部:中方对日本首相官邸高官、首相侧近公然宣称日本应该拥有核武器感到震惊
- 1天前足球比赛外围买球网站_他已任惠州市政府副秘书长,履历涉及惠州、云浮两地多部门
- 2天前皇冠信用网登2代理_真相要浮出水面?南博前院长徐湖平遭举报,信息量巨大
- 2天前皇冠信用网登2代理_山西大同发生4.2级左右地震,北京多区居民表示有震感
- 2天前皇冠信用网登2代理_悉尼枪击案枪手或在超级监狱服刑:完全隔离,吃喝拉撒都在牢房,堪称“混凝土坟墓”
- 2天前皇冠信用网登3代理_中国间接拿下史上最大军售,巴铁签下46亿美元订单,中国枭龙和VT-4获利斩榜首
- 2天前皇冠信用网登3代理_赖清德弹劾案最新进展:台立法机构将于明日排案 最快周五提案
- 3天前皇冠信用网登2代理_泽连斯基支持,但俄罗斯否决了俄美乌三方会谈
- 3天前皇冠信用网登2代理_贵州省工商联党组副书记张德芹已明确保留正厅长级
- 3天前皇冠信用网登2代理_中国篮协:热烈祝贺王治郅
- 3天前皇冠信用网在哪里开通_黄奇帆:今后十年人民币将逐步升值至6.0左右
- 3天前皇冠信用网在哪里开通_视频丨相继发现6个亿吨级油气田!解码我国最大原油生产基地
- 3天前皇冠信用网在哪里开通_成都一私人影院违规经营,提供营利性陪侍服务!已被依法取缔
- 3天前皇冠信用网登3代理_女排运动员李盈莹发文:决定回国进行康复治疗


网友评论